Zahnunfall = Trauma.
Insbesondere in einem Alter zwischen 8 und 16 Jahren erleiden viele Kinder und Jugendliche einen Unfall mit Verletzung der Zähne. In über 80 % dieser Unfälle sind dabei die Frontzähne betroffen. Die leichteste Verletzung ist das Abbrechen eines Teils der Zahnkrone ohne (sichtbare) Verletzung der Zahnpulpa (des „Nervens“), die schwerwiegendste ist der vollständige Zahnverlust (Avulsion) im Idealfall mit sofortigem Zurücksetzen in das Zahnfach.
Bei jedem Zahnunfall besteht die Gefahr, dass der Zahn abstirbt und sich in der Folge eine Entzündung ausbildet. Besonders gravierend ist dies, wenn das Wurzelwachstum noch nicht abgeschlossen ist, der Zahn noch keine normale Wurzelspitze ausgebildet hat.
Wichtig ist in jedem Fall eine schnellst mögliche Versorgung und in der Folge eine engmaschige Kontrolle um weiteren Schäden vorzubeugen.
Be den meisten Zahnunfällen können heute die Spätfolgen minimiert werden, oft sogar der Zahn „am Leben gehalten“ werden.
Ein Großteil der Zahnunfälle ereignet sich während des Sports. Es ist daher bei vielen Sportarten ausgesprochen sinnvoll einen Zahnschutz zu tragen. Geben Sie den Begriff „mouthguard“ bzw. “Zahnschutz” in eine Internet-Suchmaschine ein.
Eines der zuverlässigsten Schutzsysteme ist gegenwärtig der Playsafe-Mundschutz, der nur von zertifizierten Zahnlaboren angefertigt wird.

Rettung eines Unfallzahnes I
1. Dieser Schneidezahn ist bei einem Unfall abgebrochen und der Nerv liegt frei. Dennoch kann so ein Zahn mit modernen Techniken am Leben erhalten werden, wenn die Behandlung innerhalb weniger Tage erfolgt.

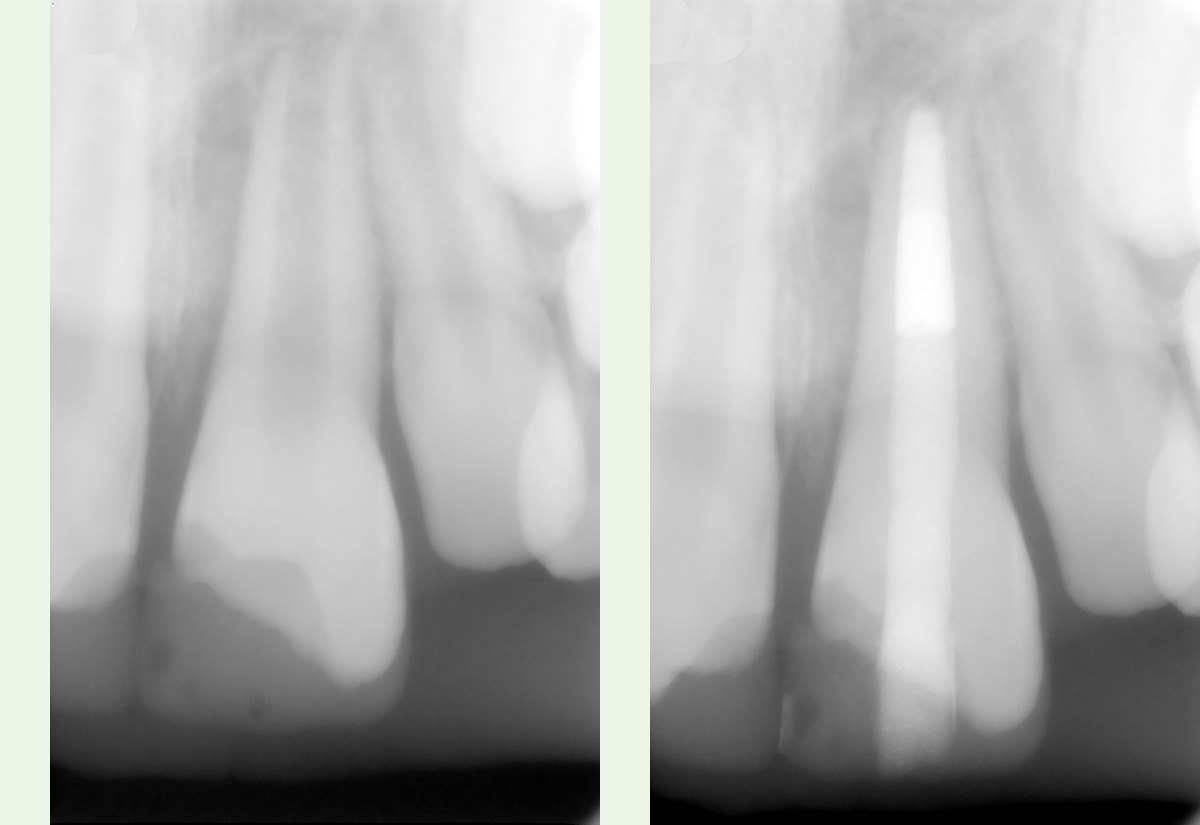
Rettung eines Unfallzahnes II
2. Die Zahnpulpa (der „Nerv“) des Scheidezahnes überlebte den Unfall nicht und Bakterien drangen in den Zahn ein. Trotz der verspäteten Behandlung konnte der Zahn gereinigt und verschlossen werden.
3. Nach knapp 2 Jahren hat sich der Knochen an der Wurzelspitze regeneriert und der Zahn ist ohne ästhetische Beeinträchtigung in Funktion.


